연예 소식
사회 이슈
라이프
연예 소식
사회 이슈
라이프
연예 소식
방송
스타요즘
사회 이슈
사건 사고
해외토픽
죄와 법
라이프
건강
여행
스포츠
건강
건강 최신 기사
건강
여름철 바닷가의 골칫꺼리 해파리, 해파리 독 치료제 나올까
건강
아이가 병원에서 링거 맞기를 힘들어하나요? 이것만 있으면 걱정끝!
건강
재발, 전이 막을 수 있는 암세포 자폭 메커니즘 찾았다
건강
타미플루 내성 해결한 신종플루 치료제 후보물질 개발
건강
[달콤한 사이언스]국내서만 14만명 사망자 낸 스페인독감 원인 알고보니…
건강
[달콤한 사이언스]담배 피운 적도 없는데 폐암으로 사망? 알고보니 원인은 대기오염
건강
우울과 불안 일으키는 스트레스, 실시간 측정 가능해졌다
건강
몸 속에서 ‘이것’ 작동하지 않으면 암 걸린다
건강
[달콤한 사이언스]“아프냐, 나도 아프다”…사이코패스에게는 없는 ‘이것’ 발견
건강
[달콤한 사이언스] 새로운 것을 배우고 창의성을 발휘하고 싶다면 ‘멍’ 때려라
건강
행복해지고 싶다면 ㅇㅇ을 하세요
건강
[유용하 기자의 사이언스톡] 사람에게 입은 정신적 상처, 동물이 치유
건강
숨쉬기 운동만으로 혈압 떨어지고 기억력 좋아진다고?
건강
[달콤한 사이언스] 모기 종류에 따라 말라리아 위험도 달라진다
건강
[달콤한 사이언스] 모든 독감 막아주는 만능 백신 나오나
건강
[달콤한 사이언스] 간암세포 이제는 굶겨서 없앤다
건강
보톡스 없이도 주름진 세월을 피할 수 있다?
건강
슈퍼박테리아 잡는 ‘믹스 항생제’ 성능 8시간 내에 확인한다
건강
항암면역요법 무턱대고 썼다가는 암 더 키운다
건강
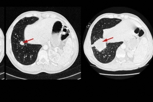
‘마왕’ 신해철 사망원인 패혈증으로 인한 폐손상 알고보니...
6
7
8
9
10
건강 많이 본 기사