위장이 풍선처럼 부풀다 ‘펑’…‘이 술’ 인기에 의사들 경고 나왔다
하승연 기자
입력 2026 01 06 15:47
수정 2026 01 06 21:08
바(Bar)나 레스토랑에서 시각적 효과를 위해 널리 쓰이는 ‘액체질소 칵테일’이 자칫 위장을 파열시킬 수 있다는 경고가 나와 눈길을 끌고 있다.
5일(현지시간) 미 뉴욕포스트에 따르면 보건 전문가들은 칵테일이나 디저트에 들어가는 액체질소가 체내에 유입될 경우 내부에서 급격히 기화하며 장기를 손상할 수 있다고 경고했다.
영하 196도에 달하는 초저온의 액체질소는 공기 중에서 하얀 연기를 내뿜으며 신비로운 분위기를 연출할 수 있다는 점에서 인기를 끌고 있다. 그러나 이를 완전히 기화시키지 않은 채 마실 경우 치명적인 결과를 초래할 수 있다.
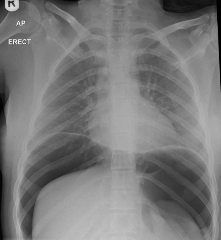
한 전문가는 “액체질소가 입이나 식도를 통해 위장으로 들어가면 순식간에 기체로 변하며 부피가 수백 배 이상 팽창한다”며 “이 과정에서 위장이 풍선처럼 부풀어 오르다 압력을 견디지 못하고 터지는 ‘위장 파열’이 발생할 수 있다”고 강조했다.
실제로 과거 영국에서는 18세 소녀가 생일 파티에서 액체질소가 든 칵테일을 마셨다가 위장에 구멍이 뚫려 위 전체를 적출하는 대수술을 받은 일이 발생하기도 했다.
전문가들은 액체질소 자체가 독성은 없으나, 초저온 상태의 액체를 직접 섭취하는 행위는 내부 동상과 폭발적 기화라는 위험을 안고 있다고 지적한다.
한 응급의학 전문의는 “연기가 나는 시각적 즐거움은 좋지만, 반드시 액체가 완전히 증발했는지 확인해야 한다”며 “음료를 마시기 전 연기가 완전히 사라질 때까지 기다리는 것이 가장 안전하다”고 조언했다.
미국 식품의약국(FDA) 역시 액체질소를 포함한 식품 취급 시 피부 화상 및 내부 장기 손상 위험을 경고하며 소비자들의 각별한 주의를 당부하고 있다.
하승연 기자
ⓒ 트윅, 무단 전재 및 재배포 금지
Q.
기사를 끝까지 읽으셨나요? 이제 AI 퀴즈로 기사의 핵심을 점검해보세요.
액체질소가 위장에서 기화할 때 발생하는 주요 위험은?

















































